搜索
信网手机版移动继续看新闻

这种病毒爱挑小孩、老人“下重手” 预防方法快收藏

原标题:这种病毒爱挑小孩、老人“下重手”!预防方法快收藏

冬季呼吸道疾病高发,除了流感和支原体感染,人偏肺病毒悄然来袭!

近日,中国疾病预防控制中心发布全国呼吸道传染病监测情况,急性呼吸道传染病呈现持续上升趋势,其中,人偏肺病毒感染逐渐增多。

△第50周(12月9日—15日)呼吸道样本主要病原体核酸检测阳性率区域差异(图源:中国疾控中心)

人偏肺病毒是什么?是新病毒吗?

传染性强吗?患病后症状严重吗?

一文读懂↓↓↓

“年轻”的人偏肺病毒

人偏肺病毒(HMPV)是一种会引发急性呼吸道感染的常见病毒。

与流感等传统呼吸道感染病毒相比,人偏肺病毒相对“年轻”,其发现的时间较晚。2001年,荷兰学者首次从未知病原体引起呼吸道感染患儿的鼻咽抽吸物样本中检出该病毒。

虽然发现较晚,但血清学研究表明它已在人类中存在60多年,且在世界各地均有分布。

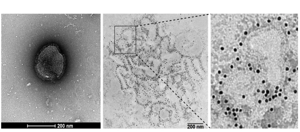
△HMPV电镜下形态观察(图源:中国疾控中心)

人偏肺病毒感染症状和流感相似吗?

发病时,症状与流感相近,但是人偏肺病毒感染的主要表现为感冒,出现发热、咳嗽、流鼻涕等症状,流感病毒则会出现高热和全身乏力等。

目前,人偏肺病毒防治尚无疫苗和特效药物,治疗措施多为对症支持治疗。

喜欢挑小孩、老人“下重手”

人偏肺病毒感染的潜伏期一般为3—6天,全人群普遍易感,但症状的严重程度因人而异。

1.常见症状:咳嗽、发热、鼻塞和呼吸短促等上呼吸道感染症状;

2.轻症感染:对于大多数人来说,人偏肺病毒感染表现为自限性疾病,多数人在1周左右症状逐渐缓解;

3.重症感染:对以下高危人群,人偏肺病毒可能引发严重的下呼吸道感染:

5岁以下儿童:可能导致毛细支气管炎或重症肺炎;

老年人:可能诱发肺部感染或哮喘加重;

免疫力低下人群:如接受器官移植、造血干细胞移植的人,感染后可能出现严重的肺部炎症。

因此,儿童、老年人以及免疫功能较弱的人群必须密切关注病情变化,一旦出现呼吸困难、高烧不退等症状,应及时就医。

人偏肺病毒如何传播?

△ 图源:中国疾控中心

人偏肺病毒的传播方式与大多数呼吸道病毒相似,主要通过以下途径:

1.飞沫传播:感染者在咳嗽或打喷嚏时,病毒会随飞沫传播;

2.接触传播:密切接触人偏肺病毒感染者,或接触被污染的物体(如门把手、手机、玩具等),再摸自己的眼睛、鼻子或嘴巴,导致病毒进入体内。

需要注意的是,人偏肺病毒的免疫保护时间较短,这意味着人可能会反复感染。这种病毒对儿童的威胁尤其大,是导致5岁以下儿童急性呼吸道感染的主要病原之一。

如何预防人偏肺病毒?

好习惯:养成勤洗手、戴口罩等良好的卫生习惯;

常通风:每天定时开窗通风,保持室内空气通畅;

少聚集:尽量避开人群聚集或者空间密闭的场所;

提高免疫力:均衡饮食、适度运动,规律作息。

总而言之,保持良好的生活习惯,前往人员密集场所时最好佩戴口罩,同时做到勤洗手、勤通风、科学消毒等预防措施,可有效降低感染机会。

[来源:央视新闻客户端 编辑:秦璐]
精彩美图 更多 >>
2024 12/30 10:46
· 来源 ·
央视新闻客户端
· 责编 ·
秦璐
阅读量
扫描到手机
用手机或平板电脑的二维码应用拍下左侧二维码,可以在手机继续阅读。

青岛话题 更多 >>

深度报道 更多 >>

大家爱看

信网手机版

信网小程序

青岛网上辟谣平台

AI调解员

鲁ICP备14028146号-1 互联网新闻信息服务许可证:37120180021 增值电信:鲁B2-20180061 鲁公网安备:37020202000005号
手机版 | 媒体资源 | 信网传播力 | 关于信网 | 广告服务 | 人才招聘 | 联系我们 | 版权声明| 违法和不良信息举报